
Introduction
I was in China from October 2019. As at late November some of my friends started talking of a SARs like disease in a more Northern city in China. Reuters only picked it up in mid-December. I never paid much attention as we all thought it was SARs and would be curtailed.
However this was a pipe-dream.
The Severe acute respiratory syndrome coronavirus 2 (SARS-CoV-2), also known as 2019 novel coronavirus (2019-nCoV) and more popularly as Covid-19, Covid, Coronavirus , is a positive-sense single-stranded RNA virus and the cause of the ongoing Coronavirus pandemic that started late November 2019 in Wuhan China and has since spread globally. As at April 4, 2020, it has infected ~1.6M people and killed ~100K people across the world.
The global economy has ground to a halt, with 30% of the global population as at March 28, under quarantine due to mandatory stay at home orders to stem the spread of the virus and avoid crashing healthcare systems with too many people falling sick at same time.
The Coronavirus Pandemic has cost millions of jobs with over 3 Million filing for unemployment benefits in the USA alone. Many small companies across the world from restaurants to manufacturing have closed down. Big companies such as airlines are failing. Governments are rushing through stimulus packages to support citizens and avoid a complete global economic meltdown.
The coronavirus is the cause of the covid19 pandemic which has caused widespread mortality. Mistakes were made with data reporting from its initial origin site that led to the WHO and many countries downplaying its infectiousness and mortality rate.
As we now know, its mortality rate can reach as high as 12.7% (Italy) which is far greater than the 0.1% with the common flu we thought based on initial data from its initial origin site.
This virus leapfrogged the animal-human barrier. It is vicious in infectiousness and deadly especially for the elderly, those with underlying health conditions and immuno-compromised. It is here to stay until most of the population has some sort of immunity. There will be several waves until most of the vulnerable are dead or we have a universal vaccine.
When the pandemic started and many were asking why the hulla-balloo, I told several that if this disease was like the flu, why did China carry out such aggressive actions like locking people up in their homes, forcibly removing people from their homes into quarantine, barricading whole cities in and why did Russia, North Korea and the USA stop all flights from China in the early days.
The severe actions taken was clear proof that this was more than the flu. There are videos of people actually dropping dead in China while on queue to get into hospital. Subsequent events have validated the severity of this virus and the need to have copied China in responding seriously to it.
Only after the COVID-19 viral disease had swept into at least 114 countries and killed more than 4,000 people did the WHO officially call it a pandemic on March 11, 2020.
I had called it a pandemic 3 weeks before in the week of February 14 in my company and asked my staff to begin to take proactive measures.
And then the WHO continued to encourage travel to and from China when it should have asked for a complete lock down. It encouraged contact tracing – a system which is overwhelmed as more people get infected instead of the aggressive quarantine and travel ban mandates embarked on by the Chinese government.
African countries seemed to take guidance from the WHO and many left their borders open up to 2 months after the USA had shut down travel to China. Nigeria only closed its borders on March 23, 2020. The Canadian Health Minister had criticized the US shut down of travel to and from China as too aggressive. By March 17, 2020, Canada would shut its borders to non citizens.
The USA has its current community spread from travel from Europe (which was not as aggressive with shutting travel to and from China) and from mismanagement of returned evacuees in January 2020- a whistle blower only revealing this to public in late February 2020.
The WHO may have relied on faulty data to base its judgement but its call was wrong and had it got it right, more aggressive barricading should have happened much earlier across the world. And we would not see the number of deaths and extent of economic shock we experience today.
From poor data, to cavalier responses and wrong calls from governments and a multilateral institution that should have known better, ordinary people were failed and are now dying in mass numbers. Coronavirus disparately affects the low income who due to overwork, poor nutrition and cramped living conditions are especially susceptible to both infection and death from the Coronavirus.
A Personal Guide to Protecting Yourself From Coronavirus Where Government and Multilateral Agencies Have Failed
As a Pharmacist and one who has learned to manage severe Asthma over the last 15 years, the guide below is written from my personal study of symptoms and body impact of covid from online research and patient testimonies. The actions to take are exactly what I will do for myself. I am not recommending them to you except for the purposes of information. And in all circumstances you must speak with your accredited health provider for course of treatment to take.
Understanding how Covid causes death & some interventions
Oxygen, Oxygen, Oxygen- this is what you need to survive Covid
Adebayo Alonge
Pharmacist & Impact Entrepreneur
Covid is causing death through flooding the bloodstream with Iron by displacing oxygen, carbon and glycoysylate from the red blood cell’s heme, dissociating heme to porphyrin and freeing up iron-radicals that then overwhelm the body’s mop-up defenses i.e. macrophages (large white blood cells) and over-burden the liver. All together causing large organ breakdown.
By destroying the ability of red blood cells to distribute oxygen and using the red blood cells as its carrier, the Coronavirus causes an oxygenation problem in the human body- progressively as it replicates and suddenly as the red blood cell count drops past the ability of body to replenish.
Oxygen, Oxygen, Oxygen is what you need to survive Covid.
The joint pains , fatigue and loss of smell and taste are very familiar symptoms SS (sickle-cell ) patients exhibit indicating anemia that is resulting from hemolysis/loss of red blood cells and iron-radical poisoning of the blood.
Patients exhibit classical carbon-monoxide poisoning as the red blood cells are unable to distribute oxygen to the major organs in the body. Having been robbed of heme, oxygen and iron by the virus.
The virus relies on its replication by binding porphyrin (i.e. dissociated heme) for its replication and using the red blood cells as carriers in its journey round the body..
Chloroquine competes for virus binding to porphyrin helping to slow virus replication and red blood cell destruction. Chloroquine also reduces viral replication by making the blood more acidic . Blood PH is slightly basic (7.34 to 7.45).
Azithromycin and Anti-Retrovirals (ARVs) like Abacavir reduces the ability of the virus to bind to porphyrin helping to slow virus replication and red blood cell destruction.
Azithromycin also reduces upper respiratory tract infection by opportunistic bacteria such as pneumococcus that drive mucus production and reduce lung ventilation capacity.
Vitamin C and other free radical moppers remove free-flowing iron that the virus has displaced helping to reduce work load of macrophages (body’s antibodies) so that they can focus on eating up the virus. Also iron-chelating drugs such as Deferoxamine, Deferiprone and Deferasirox as well as iron-chelating foods such as spinach ,whole grains such as buckwheat and amaranth, other vegetables such as chard and rhubarb, as well as beans and nuts that all contain significant levels of oxalic acid, which binds with iron, inhibiting its absorption. Soy beans contain phytic acid, which also bind iron.

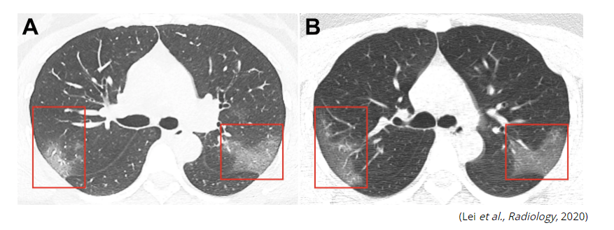
The virus’s displacement of iron from red blood cells aggravates macrophage clustering in the lungs causing the extensive lung damage seen in Covid-patient’s lungs in the CT scan.
In fact some theorize that the rapid descent to death by many Covid victims who were otherwise getting better is a result of auto-immune over-reaction caused by Cytokines (so-called Cytokine storm). Read more HERE.
It therefore appears that conventional COPD type treatment using steroidal anti-inflammatory drugs such as prednisolone at about +7days of hospitalization when the body’s immune systems are fully in action will be effective. This will reduce the cytokine storm probability and protect the immune system from over-reacting and destroying itself.

Immune boosters such as citrus fruits, peppers, broccoli, garlic, spinach and yoghurt increase number of macrophages to help fight off the virus.
Patients will benefit from blood transfusion to replace lost red blood cells.
Patients will also benefit from infusion of plasma from patients who have survived and who have high levels of antibodies as this will help improve cytokine honing and macrophage mop-up of immune system for the Coronavirus.
Failure of cellular oxygenation caused by Covid needs to be addressed clinically while managing symptoms
Adebayo Alonge
Pharmacist & Impact Entrepreneur
Covid is currently being treated like it is pneumonia which is only one of the side effects of this disease. This is symptomatic relief but the cause- which is the failure of organ oxygenation due to red blood cell destruction- needs to be addressed in clinical management.
Treatment Protocol: A Personal Guide
Should I be infected, I would focus on following steps to fight the Coronavirus:-
1. Improving the capacity of the immune system to fight the virus
Nutrition is key.
Start eating immune boosting foods especially vegetarian such as citrus fruits, peppers, broccoli. garlic, and spinach.
Start eating iron-chelating foods such as spinach ,whole grains such as buckwheat and amaranth, other vegetables such as chard and rhubarb, as well as beans, nuts and soy beans.
Use well-formulated multivitamins on a daily basis with high doses of Vitamins C and B. Double dose once fever, body pains starts and revert to normal dose once body is recovering.
The body needs to be free of toxin build up to enable it fight. A health digestive tract is key. Kefir based drinks first taken in the morning should be used.
2. Symptomatic treatment to prevent lung infection and improve lung capacity
Most patients are asymptomatic until 2 weeks after infection.
I will pay close attention to body temperature, flu-like symptoms, body aches and sore throat.
I will use natural therapies such as humidifiers, hot baths, hot bottles on chest and citrus based inhalations to manage flu-like symptoms. I will double dose of multivitamins or vitamin c supplement and increase intake of citrus fruits and spinach.
As soon as I notice a sore throat, I will begin therapy with CoTrimoxazole 80/480mg one tablet twice daily for 7 days to reduce upper throat and respiratory tract infection by opportunistic bacteria like group A Streptococcus that can cause tonsilitis for example.
As soon as I start noticing breathing difficulty as reflected by difficulty in inhaling fully, I will begin using Salbutamol 4mg thrice a day until symptoms subside. This will improve my capacity to breathe in better.
I will treat fever and body aches with paracetamol or NSAIDS such as Ibuprofen (I will avoid NSAIDS with ulcers).
Once I notice productive coughing with deep sputum ‘gurgitation’ especially if colored brown, yellow or green, I will start Azithromycin 500mg once daily for at least 5 days and extend for another 5days if symptoms persist.
If my breathing worsens I will start breathing exercises to ensure airflow and oxygenation. I will make sure to sleep lying on my stomach and taking deep breaths in order to ensure oxygen is reaching my lungs.
See video below for breathing exercise method that has proven effective for Covid patients.
I will then check myself into hospital and request for Hyperbaric Oxygen Therapy which is like being in pressurized chamber (like an airplane) under high pressure air with 3 times more oxygen than normal air. This will increase oxygen intake for my every breath and compensate for the reduction in my red blood cells oxygen carrying capacity.
3. Protecting the red blood cells from the virus
In hospital, I will ask doctor to prescribe me Chloroquine 500mg (2 tablets at once) then 1 tablet in 8 hours from first dose on Day 1 ; then 1 tablet on Day 2, and a final tablet on Day 3
I could ask to repeat in 7 days.
As I itch to Chloroquine, I will also use Chlorpheniramine 2mg or Loratdaine 10mg alongside my Chloroquine doses.
4. Replacing red blood cells
I will be open to receiving a blood transfusion to replenish my red blood cells.
5. Decelerate immune response once peak response achieved to prevent autoimmune breakdown
Ask my doctor to place me on Prednisolone 4mg once daily within 7 days of my Covid symptoms showing, in order to protect my body from an autoimmune reaction
6. Place on mechanical ventilation
If my ability to self oxygenate declines, I will ask for mechanical ventilation to support me. I will ask for it to be set up for lower pressure while maximizing the airflow to increase the oxygen supply. I would ask to be placed on oxygen as well.
7. Make my will
As long as I am still conscious, I will make my will. Say hello to my loved ones and let them know the reality of the situation.
8. Positive Confessions
I will speak positive words declaring that I am healed already and think positive thoughts in order to drive my brain to create a positive environment for my body to fight back.
I will smile and try to laugh daily in order to create a positive body environment
9. Recovery: its all about nutrition, nature and nurture
On leaving the hospital, I will continue to eat vegetarian.
I will spend more time walking in parks and quiet trails.
If I can I will ask to be driven to a mountain range in order to inhale the fresh air of the mountains and help my lungs heal.
I will watch comedies and be with people who help me laugh. This way my body will have the right factors to heal.
Summary
Ordinary people should protect and take care of themselves.
The governments are overwhelmed and people must learn how to manage this Coronavirus Covid disease.
You must protect and take care of yourself.
The aforementioned guide is for informative purposes as each indivudial’s situation is unique and requires the intervention of a qualified health professional.
#staysafe #wearetogether #wewin
Adebayo Alonge
(Pharmacist & Impact Entrepreneur)
Discover more from Adebayo Alonge
Subscribe to get the latest posts sent to your email.